
Somos un grupo de profesionales especializados dedicados a la salud bucal con más de 10 años de experiencia.
El trabajo con seriedad, profesionalismo y cordialidad, son algunas de las cualidades que nos caracterizan. Buscamos que el paciente se sienta cómodo, dando la solución más efectiva a sus necesidades.
Para brindar un servicio de calidad acorde a nuestros objetivos, formamos un equipo humano especializado en las diferentes áreas de la salud bucal, contando con métodos y tecnología de última generación a su disposición.
Es la especialidad que se ocupa de la prevención, estudio, diagnóstico, tratamiento y rehabilitación de las patologías de la cavidad bucal y del sector cráneo facial.
El cirujano maxilofacial atiende problemas de implantología oral (colocación y rehabilitación de implantes dentales osteointegrados), extracción de terceros molares (muelas de juicio) o caninos incluidos, quistes de los maxilares, extirpación de tejidos, masas extrañas y biopsias.
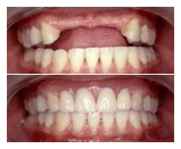
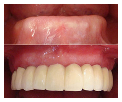
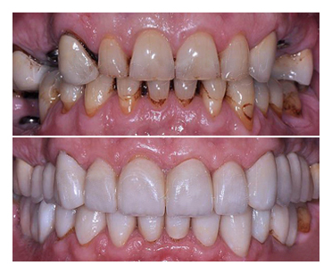
Los implantes dentales son raíces artificiales sobre los cuales se realizan prótesis dentales. Las rehabilitaciones con implantes ofrecen y otorgan una sensación similar a los dientes naturales, permitiendo altos niveles de comodidad, seguridad y confianza respecto a tratamientos convencionales.
El gran desafío de los últimos años es el poder reemplazar los dientes ausentes con una estructura semejante que nos permita una rehabilitación “AD-INTEGRUM” (volver al estado original). Para ello reconocidos investigadores abordaron el problema buscando solucionar:
1) Eliminar las prótesis removibles parciales y/o totales. Muchos pacientes padecen la ausencia total o parcial de dientes. Las prótesis removibles cubren el paladar, ocupan casi toda la boca, dificultan la pronunciación y limitan el libre movimiento de la lengua.
2) Mejorar la estabilidad de la prótesis en aquellos pacientes que por pérdida de los dientes y grandes reabsorciones de los huesos maxilares estaban casi imposibilitados de sostener sus prótesis completa.
¿Cómo funcionan los implantes dentales?
Un implante dental es una fijación de titanio que se coloca en el hueso maxilar para ocupar el lugar de la raíz del diente o de los dientes ausentes. Pasado el periodo de oseintegración (cuando el hueso circundante al implante ha cicatrizado), se coloca la prótesis con dientes artificiales sobre los implantes.
¿Cuántas visitas son las que debo asistir para colocar un implante?
Los implantes dentales se colocan en una sola visita. El tiempo de la práctica es de 45 minutos aproximadamente.
¿Qué solución tengo cuando faltan todos los dientes?
Si el paciente ha perdido todos los dientes básicamente tiene 2 opciones de tratamiento:
¿Quién puede recibir implantes?
Cualquier persona puede estar en condiciones de recibir implantes. Sólo resta estudiar el caso, hacer un correcto diagnóstico, pronóstico y luego realizarlo exitosamente. Hay casos en los que el hueso remanente es poco o escaso. Para ello hay que generar el hueso faltante mediante diversas técnicas de regeneración tisular guiada.

Una prótesis dental es un elemento artificial destinado a reponer las piezas dentales ausentes, restaurando también la relación entre los maxilares. En odontología las prótesis las constituyen el uso de dientes artificiales los cuales pueden ser fijos o removibles y realizados en diferentes materiales.
La pérdida de dientes puede provocar diversos tipos de alteraciones o dificultades como ser las digestivas, de la articulación temporomandibular, de la fonación y estéticas.
Existen diversos tipos de prótesis dentales, y cada una de ellas serán las indicadas según las necesidades del paciente. En ocasiones existen más de una solución protésica para una misma boca, en cuyo caso el odontólogo le comentara las ventajas de unas prótesis sobre otras, para que finalmente el paciente sepa, entienda y comprenda que tipo de prótesis es la indicada para su caso.
Son diseñadas y estructuradas de tal modo que el paciente puede instalarla y retirarla sin ayuda del odontólogo.
Tipos de prótesis removibles:
Indicada para reponer la totalidad de los dientes, puede ser retirada de la boca por el paciente y pueden ser realizadas en material acrílico como así también en material flexible.
Indicada para reponer pérdidas parciales de piezas dentarias. Este tipo de prótesis suelen utilizarse como tratamiento definitivo o de manera provisoria para implantes.
Esta prótesis es sin dudas la más estética de las prótesis removibles. A diferencia de las prótesis de acrílico, éstas son confeccionadas en nylon flexible.
Ventajas:
Están indicadas cuando el paciente conserva algunos de sus dientes naturales en muy buen estado.
Este tipo de prótesis son muy resistentes por su estructura metálica. Tienen tres componentes: el armazón, ganchos metálicos y la base de material de acrílico que sirve de soporte para los dientes.
Son prótesis diseñadas y estructuradas sobre las raíces dentales y/o implantes y solo pueden ser retiradas por un odontólogo.
Entre las prótesis fijas más frecuentemente usadas en la actualidad tenemos:
Perno muñon: Elemento de fijación que se coloca dentro de las raíces de los dientes tratados endodónticamente (tratamiento de conducto).
Materiales de los pernos: Los pernos son ser realizados en diferentes tipos de materiales, como ser de titanio, fibra de carbono, aceros, porcelana, fibra de vidrio.
Así como su nombre lo indica es aquella corona que NO posen metal en su interior.
Es biocompatible y se adapta a la pieza dental con total exactitud, se evita cualquier tipo de oxidación que pueda dañar el diente y elimina la “famosa” línea negra entre la corona y la encía del paciente.
Es sumamente estética e ideal para ser utilizada en sector anterior.
Permite jugar con toda la gama de porcelanas así como también con los modificadores de color y traslucidez.
La corona de porcelana sobre metal es en la actualidad la prótesis estética más utilizada en la odontología actual. Está formada por una base metálica sobre la cual se funde porcelana otorgándole el marco estético.
Esta corona es altamente resistente y puede ser realizada sobre diferentes metales como ser: cromo niquel, titanio y/u oro.
Algunos metales pueden generar a causa de la oxidación y corrosión un borde negro entre la encía y la corona de porcelana, por este motivo sería más indicado este tipo de coronas para el sector de premolares y molares.
Mientras que en el sector antero superior donde la estética es de suma importancia optaríamos por las coronas libres de metal
Este tipo de prótesis se indica en casos donde el paciente tiene suficiente hueso para colocar mínimamente entre 6 a 8 implantes por maxilar, para luego instalar lo que se denomina férula de porcelana, que simplemente es un conjunto de coronas de porcelana unidos entre sí.
Esta solución odontológica es muy buscada por los pacientes, ya que es la de mayor comodidad y son altamente estéticas.
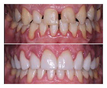
La estética dental abarca todo aquello que tenga que ver con la belleza, la estética, o el embellecimiento de sus dientes, en sus distintas formas y posibilidades.
La mayoría de los adultos cree que una sonrisa poco atractiva puede impactar negativamente en sus oportunidades laborales y sociales.
La finalidad de esta especialidad es dejar sus dientes estéticamente bellos y funcionalmente aptos para su vida diaria. La odontología estética se encarga de mejorar la sonrisa de las personas, reparando la dentadura que por distintos motivos, como fracturas, tratamientos de conducto, caries, manchas, etc. ha perdido su estética. Existen diferentes materiales estéticos elaborados especialmente para cada tratamiento, de acuerdo a los requerimientos del especialista y a la necesidad del paciente.
La restauración dental abarca varios tratamientos. Las principales técnicas de la estética dental son las siguientes:
Carillas de porcelana
Las carillas de porcelana son láminas de cerámica muy delgadas que cubren toda la superficie anterior de las piezas dentales.
Además del color, con las carillas de porcelana se puede modificar la forma, tamaño y posición de los dientes.
La diferencia entre una carilla de porcelana y una corona es que la carilla de porcelana va colocada sólo en la cara externa del diente. Por el contrario, la corona rodea al diente por todas sus caras.
Ventajas
Cambio de amalgamas
Esta técnica consiste en la eliminación de los antiguos arreglos negros anti estéticos por un material altamente estético similar a la pieza dental y en una sola sesión.
Composite
La obturación estética es el procedimiento por el que se restaura la anatomía de un diente que presenta una lesión de caries, una fractura o una pérdida de obturación previa mediante la colocación del material estético de resinas compuestas (composites) en la cavidad dentaria específicamente preparada.
Incrustaciones
Es un tipo de restauración intermedia entre un arreglo simple (composite) y una corona, que se llama incrustación. La incrustación, también conocida como inlay u onlay es confeccionada con materiales estéticos muy resistentes (porcelana pura o composites reforzados) realizados fuera de la boca, en el laboratorio, que luego se los cementa a los dientes.
Los resultados son muy estéticos y duraderos.
Ventajas
La endodoncia o tratamiento de conductos es un procedimiento por medio del cual se elimina la pulpa afectada de un diente, dañado o muerto y se sella el conducto. La pulpa es la parte profunda del diente y contiene vasos sanguíneos y nervios, situándose en la parte central de la raíz y comunicando el diente con el hueso maxilar.
Años atrás, los dientes con pulpas dañadas o enfermas se extraían. En la actualidad, el tratamiento de conducto salva dientes que de otro modo se hubieran perdido.
Las causas más comunes de daños o muerte de la pulpa son: dientes fracturados; caries profundas; lesiones, como golpes severos en la raíz (recientes o pasados).
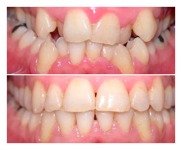
La Ortodoncia es una especialidad de la odontología que se encarga de la corrección de los dientes y huesos posicionados de manera incorrecta. Los dientes en mala posición y los que no muerden correctamente unos contra otros son difíciles de mantener limpios, corren riesgos de pérdida precoz debido a caries y enfermedades periodontales, y generan una tensión extra sobre los músculos de la masticación que puede generar dolores de cabeza, síndrome de ATM y dolores varios en cuello, hombros y espalda. Además, los dientes mal posicionados desmerecen nuestro aspecto y frecuentemente el paciente se siente limitado para realizar actos tan simples como sonreír en una fotografía.
Los actuales tratamientos ortodónticos tienen la ventaja de proporcionarnos una sonrisa estética, agradable y natural en periodos de tiempo más cortos.
Tiempo atrás se pensaba que la ortodoncia era exclusivamente para los niños. Sin embargo hoy se sabe que se puede usar a cualquier edad consiguiendo resultados excelentes y logrando altos niveles de estética y desde luego la ortodoncia además corrige problemas fonéticos, ya que la mal posición dentaria también modifica la posición de la lengua.
La OMS (organizaron mundial de la salud) establece que la maloclusion es el tercer problema de salud oral en prevalencia, ya que una mala posición dental predispone a secuelas perjudiciales como la dificultad para mantener una correcta higiene oral, riesgos de caries y enfermedad periododontal, anomalías funcionales, problemas articulares como temporomandibular y otros problemas psicosociales.
De elementos (brackets, bandas) a los que se ancla fuertemente unos finos arcos que se mantienen unidos por medio de fuertes ligaduras.
Removible:Permiten ser retirados de la boca del paciente, tratan problemas dentales que tiene indicación específica que no suplen a la ortodoncia fija.
Los tratamientos de ortodoncia generalmente se lleva a cabo con brackets estos pueden ser:
Son los más estéticos y los más resistentes de la ortodoncia moderna. No se manchan, y son prácticamente imperceptibles.
Metálicos:Es un tratamiento altamente eficaz y de bajo costo.
Cerámicos:Son la segunda elección de brackets estéticos de gran calidad
Linguales:Se colocan en la cara palatina y lingual de los dientes por lo que no son visibles.
Ortodoncia invisible:Están compuestas por una serie de alineadores plásticos hechos a medida para cada paciente. Los alineadores se van cambiando progresivamente para conseguir la posición deseada forzando al diente a través de micromovimientos a adaptar la posición configurada en el alineador.
El blanqueamiento dental es un tratamiento estético y cosmético con el que se logra tener los dientes más blancos. Este resultado estético se logra reduciendo varios tonos del color original de las piezas dentarias.
Elimina la mayoría de las manchas por medicamentos, como las tetraciclinas o por causas extrinsicas como café, té, mate, cigarrillo, vino tinto, entre otras sustancias que también oscurecen el color de los dientes.
El tratamiento se realiza en el consultorio. Consiste en el uso de un gel que se aplica sobre la superficie de los dientes, reduciendo varios tonos dentro del mismo color de la pieza dentaria. El tiempo total de tratamiento es de 60 minutos, luego del cual el paciente tendrá dientes más blancos y brillantes.
El blanqueamiento dental efectuado por un odontólogo especializado en estética dental no provoca dolor, abrasión dentaria (desgaste) como tampoco debilita las piezas dentales si este se efectúa de manera correcta y siguiendo protocolos específicos.
Este tratamiento se puede repetir a modo de mantenimiento cada 12 meses si es que fuera necesario y dependiendo de los hábitos de higiene y alimentación del paciente.
Es el hábito involuntario de apretar o rechinar las estructuras dentales sin propósitos funcionales.
No existe una causa específica pero el estrés y la ansiedad suelen aumentar mucho su aparición e intensidad.
El principal es el desgaste de dientes y en casos extremos fracturas dentales.
Los signos y síntomas por bruxismo se pueden observar a tres niveles diferentes:
1) A nivel dentario:
2) A nivel muscular:
3) A nivel de la articulación temporo mandibular (ATM):
4) A nivel del oído:
El tratamiento está relacionado con el riesgo de lesión dentaria y su posible afección muscular.
La colocación de una PLACA MIORRELAJANTE comúnmente llamada placa de descanso impide el desgaste de la piezas y afección de los dientes (fractura, fisura, rotura, dolor y hasta pérdida de piezas por fracturas longitudinales).
Desde sus primeros días de uso la placa miorrelajante elimina el dolor de mandíbula, cabeza y oído.
Son realizadas en sólo 2 vistas a su odontólogo y las placas miorrelajantes son livianas, transparentes y cómodas.
PROFESIONALES
Dr. Ariel Tortonese
Dra. Adriana Tortonese
Dra. Andrea Ronchi
Dra. Mariana Bettiol
RECEPCIONISTAS
Vanesa Liendro
Jésica Shopik
ASISTENTES
Rebeca Monge
TELÉFONO
(011) 5352-1729
info@odontologiatso.com.ar